Primärkronen für Monoreduktor

TELESKOPIERENDER ZAHNERSATZ / KONUSLÖSUNGEN

"Teleskop" und "grazil" sind zwei Worte, die sich vielfach gegenseitig ausschließen. Nicht bei uns!

Aufgrund unserer langjährigen Erfahrung im Bereich der Kombinationsprothetik beherrschen wir verschiedene Techniken und finden für den Patienten die optimale Lösung. Doppelkronen werden bei uns so gestaltet, dass sie sich unauffällig und ästhetisch in den Zahnersatz beziehungsweise Mund integrieren.

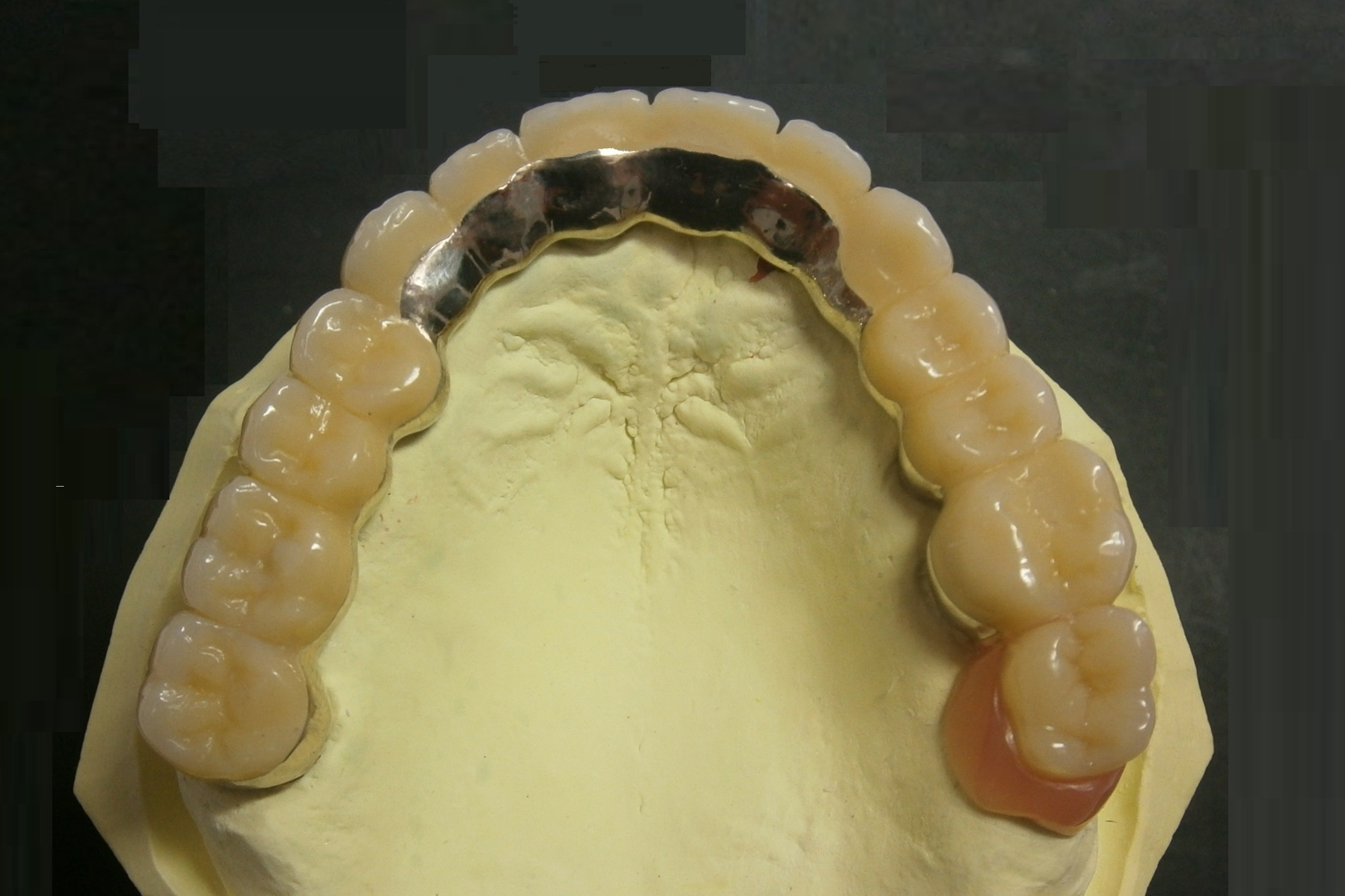
Diese Beispielarbeit zeigt eine teleskopgetragene Brücke im Oberkiefer. Der Patient erfährt durch die gaumenfreie Gestaltung ein angenehmes Tragegefühl. Das linke Bild dient dem Größenvergleich (grazile Primärkronen sind einem Zahnfarbstäbchen gegenübergestellt).

KOMBINATIONSPROTHETIK

Planung ist (fast) alles – In vielen Situationen ziehen uns unsere Kunden bereits vor der ersten Abformung hinzu. Wir überlegen gemeinsam, welche prothetische Therapie sinnvoll ist.

Ob Riegel-, Geschiebe-, Stegverankerungen oder Teleskop- und Konuslösungen - sprechen Sie uns an und profitieren Sie von unseren Ideen.